🇨🇿 OČesku
Hashtagy
Osobnosti
Prezident
Nejlepší
Tweety
Zprávy
Dobré zprávy
Zahraničí
Live
☀️
🌙
🔥 Hashtagy
👤 Osobnosti
🏛️ Prezident
✦ Top tweety
📰 Zprávy
🌱 Dobré zprávy
🌍 Zahraničí o ČR
🔥 Hashtagy
👤 Osobnosti
✦ Top tweety
📰 Zprávy
🌱 Dobré zprávy
🌍 Zahraničí o ČR
🔍
#cévnímozkovápříhoda
6 tweetů
Zpět
Zdravotnický deník
@zdravotnickydenik.cz · 10.3.2026
#CévníMozkováPříhoda
#Zdraví
#Prevence
8 příznaků, podle nichž poznáte mozkovou mrtvici. Mohou se objevit během pár sekund
145
0
Vitalia.cz
@vitalia.cz · 9.3.2026
#CévníMozkováPříhoda
#ZdravýŽivotníStyl
#Prevence
Zdeněk se cítil zdravý, pak ve spánku dostal mrtvici. Riziko přitom může odhalit prevence - Vitalia.cz
140
0
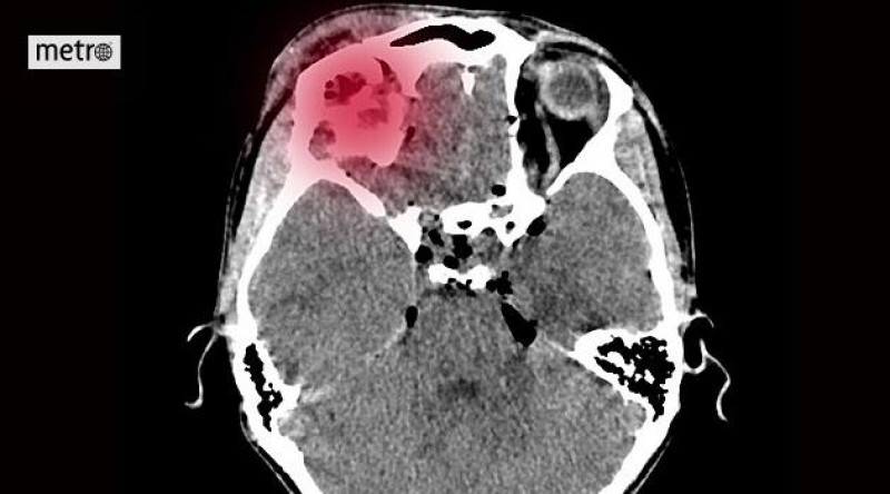
Metro
@metro.cz · 20.2.2026
#CévníMozkováPříhoda
#IktovéCentrum
#Zdraví
Do nemocnice přišel čtyři hodiny po mrtvici. Přerov má vlastní iktové centrum a šetří čas
155
0
Britské listy
@blisty.cz · 5.2.2026
#zdravástrava
#cévnímozkovápříhoda
#středomořskástrava
Středomořská strava může snížit riziko cévní mozkové příhody až o 25 %, naznačuje dlouhodobá studie | 5. 2. 2026 | Britské listy
155
0
Orlický deník
@orlicky.denik.cz · 6.1.2026
#cévnímozkovápříhoda
#specializovanápéče
#zdravotnictví
V Orlickoústecké nemocnici vzniklo centrum vysoce specializované iktové péče
165
0
Metro
@metro.cz · 6.1.2026
#zdravotnictví
#specializovanápéče
#cévnímozkovápříhoda
V Orlickoústecké nemocnici vzniklo centrum vysoce specializované iktové péče - Metro.cz
130
0